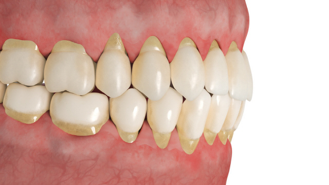
잇몸이 붓고 아플때는 일상 생활에서 흔히 경험하는 증상 중 하나입니다. 다양한 이유로 인해 발생할 수 있으며, 충분히 적절한 관리와 예방을 통해 해결할 수 있는 문제입니다. 이번 글에서는 잇몸이 붓는 이유와 그에 따른 예방법에 대해 알아보겠습니다.
계면활성제란 계면활성제 없는 치약 세제
계면활성제, 익숙한 용어일지 모르겠습니다. 물과 기름을 조화롭게 섞이게 하고, 세제가 거품을 내도록 도와주는 등 다양한 용도로 사용됩니다. 이번 글에서는 계면활성제에 대해 자세히 알아
wagle.knowledgedep.com
잇몸이 붓는 이유
잘못된 양치질
양치질을 제대로 하지 않으면 음식물이 치아 사이에 끼여서 치석이 형성되고 세균이 증식하게 됩니다. 이는 잇몸 염증의 주된 원인이 됩니다.
당뇨환자
당뇨나 다른 내분비 질환을 가진 사람들은 잇몸 질환을 더 자주 겪을 수 있습니다. 당뇨와 잇몸 질환 간의 관련성이 높으며, 이들은 정기적인 잇몸 건강 확인이 필요합니다.
흡연
담배 연기는 잇몸 건강을 해치는데, 흡연자들은 비흡연자에 비해 잇몸 질환을 더 자주 겪습니다. 특히 흡연은 잇몸의 염증을 더욱 악화시키는데, 이는 치료 과정에서도 부정적인 영향을 미칠 수 있습니다.
유전적 요인
가족 중에 잇몸 질환을 앓은 사람이 있다면 해당 질환에 걸릴 확률이 높아집니다. 유전적인 요인은 잇몸 질환의 발생과 진행에 영향을 줄 수 있습니다.
심각한 충치
충치가 심하게 발생하면 잇몸에 염증을 일으킬 수 있습니다. 충치로부터 세균이 침입하여 조직을 손상시키고 염증을 유발할 수 있습니다.

예방법과 치료법
적절한 양치
정기적이고 올바른 양치가 잇몸 건강을 유지하는 데 중요합니다. 양치 후 치실 사용을 포함하여 치아 사이의 음식물을 제거하는 것이 중요합니다.
당뇨 관리
당뇨 환자는 혈당 수치를 관리하고 잇몸 건강을 지속적으로 확인해야 합니다. 정기적인 치과 검진이 필요합니다.
흡연 금지
흡연은 잇몸 건강에 해로운 영향을 미칩니다. 가능하면 흡연을 피하고, 흡연자라면 줄이거나 중단하는 것이 좋습니다.
가족력 확인
가족 중에 잇몸 질환을 앓은 사람이 있다면 정기적인 잇몸 건강 검진이 필요합니다. 가족력을 고려한 예방이 중요합니다.
정기적인 치과 검진
치과에서의 정기적인 검진과 클리닉을 통해 잇몸 건강을 유지하고 문제를 조기에 발견할 수 있습니다.
결론
잇몸이 붓는 것은 다양한 이유로 인해 발생할 수 있습니다. 그러나 적절한 관리와 예방을 통해 이를 해결할 수 있습니다. 올바른 양치, 당뇨 관리, 흡연 금지 등의 방법을 통해 잇몸 건강을 지키고 정기적인 치과 검진을 받아야 합니다. 건강한 잇몸을 유지하기 위해 노력하는 것이 중요합니다.
65세 이상 노인 혜택 10가지
60세 이상 어르신들은 국가에서 제공하는 다양한 복지 혜택을 받을 수 있습니다. 하지만, 이러한 복지 혜택을 모르고 못받는 분들이 많습니다. 따라서, 60세 이상 어르신들이 꼭 알아야 할 복지
wagle.knowledgedep.com
눈이 뿌옇게 보이는 증상 원인 7가지
시력은 우리 일상에서 가장 중요한 감각 중 하나로, 좋은 시력은 세상을 선명하게 살아가는 데 필수적입니다. 그러나 가끔 눈이 뿌옇게 보인다면, 이는 우리의 삶에 불편함을 초래할 수 있습니
wagle.knowledgedep.com
'건강' 카테고리의 다른 글
| 비장이란, 비장 비대 증상, 위치 파열 (3) | 2024.03.04 |
|---|---|
| 참외 효능 이젠 봄이 제철! (0) | 2024.03.03 |
| 갑상선에 좋은 음식 (1) | 2024.02.25 |
| 가슴이 콕콕찌르는 증상 5가지 이유 (0) | 2024.02.22 |
| 홍역과 수두의 차이 홍역 항체검사 방법 병원 (0) | 2024.02.06 |
| 홍역 증상 예방접종 백신 치료 (0) | 2024.02.06 |
| 계면활성제란 계면활성제 없는 치약 세제 (26) | 2024.02.05 |
| 손톱이 잘 부러지는 이유 (0) | 2024.02.02 |


댓글